Русский акцент | Блог Надежды Сикорской | Новая публикация
Вооруженный швейцарский нейтралитет: в музее и в жизни
L’accent russe | Le blog de Nadia Sikorsky | Nouvel article
Neutralité suisse armée : au musée et dans la vie
Russian Accent | Blog of Nadia Sikorsky | New publication
Armed Swiss Neutrality: in the Museum and in Life

SANTE

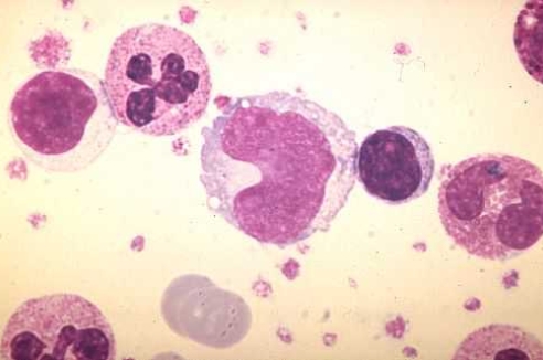
Клетки-убийцы на службе иммунной системы | Cellules tueuses à secourir le système immunitaire
Исследователи Женевского и Берлинского университетов открыли новый механизм, позволяющий мобилизовать лимфоциты, стоящие на страже нашей иммунной системы – они имеют способность идентифицировать клетки-носители вирусов и уничтожать их.
Швейцарская фирма замешана в торговле поддельным «Авастином» |
Торговая фирма из Цуга покупала поддельный «Авастин», предположительно, сделанный в Египте. Заказывала препарат компания, зарегистрированная в Дании. Препарат распространялся в Америке, а Швейцария использовалась как перевалочная база, - пишет газета NZZ am Sonntag.
«Ай или не ай?»: швейцарские ученые создали инструмент для измерения боли | L'EPFL développe un outil pour mesurer la douleur
Начав с тестов на спортсменах, они разработали датчики, показания которых помогут врачам локализировать болевые ощущения пациента и определить силу его страдания.
Меланому возможно победить | Roche attaque mélanome pour de bon
Фармацевтическая компания Roche получила разрешение Европейской комиссии на продажу нового препарата Zelboraf, который доказал свою эффективность в лечении меланомы c метастазами.
В Швейцарии – рекорд организованных самоубийств | Record de nouveaux membres chez Exit
Все больше людей выбирает Швейцарию местом для ухода из жизни, и число обратившихся в организации, которые предлагают содействие при суициде, постоянно растет. В 2011 году их платными услугами воспользовались 449 человек.
Только русские в Швейцарии лечатся больше, чем сами швейцарцы | The Russians use healthcare services in Switzerland more often than the Swiss
Вот такой интересный факт был выявлен в ходе исследования, проведенного Федеральной службой общественного здоровья Конфедерации (OFSP).
Новая жизнь для швейцарских инвалидов | La nouvelle vie pour les handicapés suisses
Инвалиды в Швейцарии получили возможность нанять личных помощников для обслуживания на дому. Нововведение позволит им не только наслаждаться всеми благами домашней обстановки, но и обойдется дешевле, чем содержание в специализированных учреждениях.
В Швейцарии откроется больше врачебных кабинетов | Avalanche de nouveaux cabinets médicaux en vue
С 1 января 2012 года прекратил действие мораторий на открытие частных врачебных кабинетов. Это значит, что у пациентов скоро появится свобода выбора, у страховых компаний возрастут расходы, а доктора, которые уже давно практикуют в Швейцарии, столкнутся с конкуренцией со стороны иностранных коллег.
Продолжение скандала с грудными имплантантами в Швейцарии | Le scandale avec les prothèses PIP continue en Suisse
В Швейцарии Институт красоты «Laclinic» опубликовал официальные данные по установке грудных имплантантов фирмы PIP и предложил пациенткам провести повторную операцию по их извлечению.
И к врачу не ходи | Les pharmacies testent un modèle de soins intégrés
В Берне был представлен пилотный проект объединения услуг фармацевтов, врачей и страховщиков в единую систему при помощи новейших средств телекоммуникации.
Медицина будущего создаст виртуального пациента | La médecine du futur créera le patient virtuel
Женевский университет участвует в проекте Европейской комиссии ITFoM («Информационные технологии для будущего медицины»). Цель проекта – создать в будущем виртуальную модель пациента с учетом всех его молекулярных, физиологических, анатомических и генетических данных.
Русская баня в Цюрихе будет работать по вторникам | Les spas grand public se multiplient dans les villes alémaniques
Не у всех есть время отправиться на новогодние выходные в длинную поездку. Предлагаем новый швейцарский способ победить городской стресс - в сауне. А что делать застенчивым людям, которые не решаются ходить туда обнаженными, знают в Женеве…
Опасные имплантаты | Les implants mammaires PIP devraient être retirés
Скандал вокруг некачественных грудных имплантатов компании PIP разгорелся с новой силой. Французское министерство здравоохранения рекомендовало всем пациенткам срочно провести операцию по снятию опасных протезов. Тем не менее, Швейцарский институт терапевтических продуктов Swissmedic не спешит принимать категоричных решений.
Тревожные симптомы кори в Швейцарии | La Suisse veut éradiquer la rougeole
В последние годы число заболеваний корью с серьезными осложнениями критически возросло в европейских странах, в частности, во Франции. Национальные министерства здравоохранения проводят кампании по вакцинации и напоминают, что корь – совсем не детская болезнь, и крайне опасна в возрасте от 15 до 30 лет.
Смех нерожденного младенца | Le rire des bébés
«Человеку свойственно смеяться», - изрек французский сатирик эпохи Возрождения Франсуа Рабле. О том, способен ли внутриутробный младенец улыбаться и смеяться, рассказал директор Центра нейрохирургии Женевского университета Патрик Вюймье.
Новые идеи компании «Новартис» в Санкт-Петербурге | Novartis vient à Saint-Pétersbourg
Совместный образовательный проект «Время новых идей», в котором участвуют швейцарская фармацевтическая группа и Санкт-Петербургская государственная химико-фармацевтическая академия, стартовал в городе на Неве. Он рассчитан на дополнительную подготовку медицинских кадров в области современной инновационной фармацевтики.
Чтобы ни один мускул не дрогнул… | La fatigue musculaire a ses origines dans le cerveau
Цюрихские ученые исследовали, каким образом мозг реагирует на усталость при долгой физической нагрузке и, таким образом, препятствует дальнейшему напряжению мускулов и истощению сил организма.
Опыты на иностранцах | L'expérience à l'italienne
Итальянские студенты приезжают в Тичино, чтобы предоставить свое тело для тестирования медикаментов – это выгодная подработка в кризисные времена.
Швейцарцев тянет на солененькое | Les Suisses consomment trop de sel
По статистике Федерального министерства здравоохранения, жители Швейцарии в среднем потребляют 9,1 граммов соли в день, что критически превышает ежедневную норму, рекомендованную Всемирной организацией здравоохранения, – 5 граммов.
Швейцарская медицина – лучшая в Европе? | Paradoxes du système de santé suisse
Согласно последнему исследованию Организации экономического сотрудничества и развития (ОЭСР), Швейцария - страна с самой эффективной системой здравоохранения. Однако в прошлом году каждый пятый больной здесь вынужден был отказаться от лечения по финансовым причинам.
Швейцарские ученые чистят зубы с помощью нанотехнологий | Des chercheurs suisses découvrent comment faire reculer les caries

Научная работа исследователей из Базеля открывает новые перспективы для лечения зубов, что в идеале должно избавить пациентов дантиста от бормашины, а еще лучше – перенести все лечение в область профилактики. 

Ключ к лечению диабета в руках женевских ученых? | Chercheurs genevois découvrent un nouveau mécanisme de protection des cellules contre le diabète
Исследователи медицинского факультета Женевского университета обнаружили неизвестный науке механизм иммунной защиты клеток, вырабатывающих инсулин в поджелудочной железе. Полученные данные открывают новые возможности в разработке терапевтических методов лечения диабета.
Швейцарцы разочаровались в своей системе здравоохранения | Les Suisses plutôt mitigés face à l’évolution du système de santé
Согласно последнему опросу компании Deloitte, специалиста в сфере аудита, консалтинга и управления, подавляющее большинство швейцарцев уверены, что изменения в системе здравоохранения ни к чему хорошему не приведут, а кассы медицинского страхования тратят полученные взносы не по назначению.
В Швейцарии горожане болеют чаще, чем сельские жители? | En Suisse les citadins vont beaucoup plus chez le docteur que les campagnards
Исследователи Бернского университета установили, что городские жители гораздо чаще обращаются к врачу, чем деревенские. Однако причина оказалась не в повышенной болезненности горожан, а в слишком большом выборе докторов, к которым они могут обратиться…
Идеальной медицинской страховки нет | Primes: atention aux faux bons plans
Но несколько альтернативных моделей, детально рассмотренных специалистами Романдской федерации потребителей, могут оказаться полезными для тех, кто намерен сменить кассу медстрахования в последний оставшийся для этого месяц.
В Женевском госпитале состоялась премьера в 3D | Une première en 3D aux HUG
Уникальный механизм, отражающий детали операционного вмешательства в трехмерном измерении и прямом эфире, в ближайшем будущем может качественно изменить сферу нейрохирургии. Проект «3D-4D» ведется при поддержке фондов Адольфа де Ротшильда и Artères.
На один день Женева стала европейской столицей транспланталогии | Genève, capitale européenne du don d'organes
22 октября в городе отпраздновали 13-й Европейский день донорства и трансплантации органов, а также 40-й юбилей первой трансплантации. Швейцарские ученые внесли в эту медицинскую практику важный вклад, изобретя медикамент, препятствующий отторжению пересаженных органов и тканей.
Электрокардиография на смартфоне | Un outil pour anticiper les problèmes cardiaques sur son téléphone mobile
Прибор, разработанный в Федеральной политехнической школе Лозанны (EPFL), позволяет проводить диагностику нарушений сердечных ритмов в домашних условиях и вовремя предупреждать осложнения.
Плохой почерк швейцарских врачей | Mauvaise écriture des médecins suisses
Почему врачи взяли моду выписывать рецепты неразборчивым почерком, к чему это приводит и как спастись от каллиграфического невежества наших лекарей - об этом размышляли специалисты из Бернской клиники Inselspital на страницах недавно опубликованного исследования.
TAUX DE CHANGE
CHF-USD 1.28
CHF-EUR 1.08
CHF-RUB 95.46
L'AFFICHE

Association

Association

Artices les plus lus

Тысячелетняя история парникового эффекта
Ученые Федеральной политехнической школы Лозанны проследили, как деятельность человека с давних времен вела к глобальному потеплению. Расширение Римской империи, чума или завоевания Нового света оказывали на климат не меньшее воздействие, чем промышленные загрязнения и выхлопные газы. Просто теперь наша планета разогревается гораздо быстрее.
Миф о Штирлице, или Швейцария в фильме «Семнадцать мгновений весны»

Благодаря кинорежиссеру Татьяне Лиозновой миллионы советских людей смогли еще в закрытые железным занавесом 1970-е годы почти побывать в Швейцарии. У многих образ маленькой нейтральной альпийском страны с ее горами и озерами, чистыми улицами и окнами, и приветливым обслуживающим персоналом остался неизменным до сих пор. Эх, знали бы они…